Orthognathic Surgery
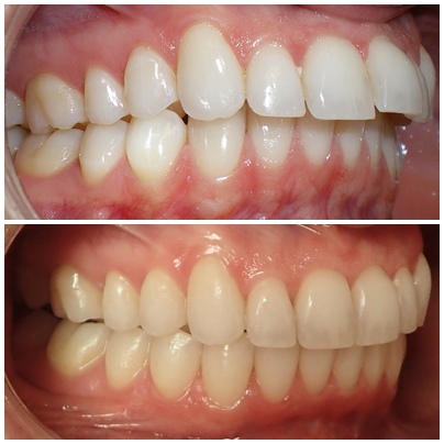
Orthognathic surgery, also known as corrective jaw surgery, is a procedure that realigns the jaw and teeth. It can positively impact the appearance of your face and how well you chew, speak, and breathe. Dr. Paterno has been a member of a cleft palate and craniofacial team at Cooper Hospital and has many years of experience in surgical orthodontics.
Benefits
• Improves the appearance of your smile and facial profile
• Improves your ability to chew, breathe, and in some cases speech
• Corrects functional and aesthetic problems
Do I Need Orthognathic Surgery?
If your upper and lower jaws are out of position, you may be a candidate for surgical orthodontics. This incorrect positioning can impact how your teeth fit together, impairing your ability to bite, chew, and speak. With the assistance of an oral and maxillofacial surgeon, and Dr. Paterno can reposition your teeth and jaws for optimal mouth function.
What Comes First: Orthognathic Surgery or Treatment?
Orthodontic treatment is typically initiated before orthognathic surgery, aligning the teeth so that they will fit together ideally after the jaws are surgically manipulated. This can be with braces or aligners. If you choose aligner therapy a few months before surgery braces will be put on so we can get you ready for your orthognathic surgery with the surgical wires needed. Than shortly after surgery we can finish your treatment with aligners. For a while after surgery, your orthodontic treatment will continue, ensuring your teeth move into their final, optimal positions and function correctly within the new position of your jaws.
	


 



